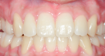
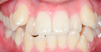
ビフォーアフター
診療時間
| 月 | 火 | 水 | 木 | 金 | 土 | 日 |
|---|---|---|---|---|---|---|
|
午前
10:00
~
13:00
|
午前
10:00
~
13:00
|
午前
10:00
~
13:00
|
午前
休診
|
午前
10:00
~
13:00
|
午前
10:00
~
14:00
|
休診
|
|
午後
14:00
~
18:30
|
午後
14:00
~
18:30
|
午後
14:00
~
18:30
|
午後
14:00
~
21:00
|
午後
14:00
~
18:30
|
午後
休診
|
施術一覧
ホワイトニング
| メニュー | 所要時間 | 価格 |
|---|---|---|
| 1時間 30分 | 300,000ウォン | |
| 1時間 30分 | 500,000ウォン | |
| 15分 | 130,000ウォン |
ジルコニア/歯列矯正
| メニュー | 所要時間 | 価格 |
|---|---|---|
| 3日以上間隔開けて2回来院 | 600,000ウォン | |
| 3日以上間隔開けて2回来院 | 550,000ウォン | |
| 3日以上間隔開けて2回来院 | 500,000ウォン | |
| 2,000,000ウォン |
PDRN注射
| メニュー | 価格 |
|---|---|
| 200,000ウォン | |
| 500,000ウォン | |
| 400,000ウォン |
医師紹介
ぺ・ジンヒョク院長
歯科補綴科 専門医
延世大学 歯科大学 卒業
延世大学校 新村セブランス病院 補綴科 修了
延世大学校 大学院 歯学修士号 取得
大韓補綴歯科学会 正会員
大韓審美歯科学会 正会員
大韓顎関節学会 正会員
UCLA(カリフォルニア大学ロサンゼルス校)先進補綴科 externship 修了
前)延世大学 歯科大学補綴学科 外来講師
イ・ホンヒ院長
保健福祉部 認定 歯科矯正科 専門医
新村セブランス歯科 矯正科 レジデント修了
保健福祉部 認定 歯科矯正科 専門医 取得
大韓歯科矯正学会 認定医 取得
大韓歯科矯正学会 正会員
延世大学 歯科大学 病院長賞 受賞・卒業
イ・シネ院長
歯科保存科 専門医
延世大学 歯科大学 卒業
延世大学校 大学院 歯学修士号 取得
延世大学校 江南セブランス病院 補綴科 修了
延世大学校 新村セブランス病院 補綴科 レジデント修了
大韓補綴歯科学会 正会員
大韓審美歯科学会 正会員
クリニックの詳細情報
基本情報
| 店名 | ヨンセファミエ歯科 |
|---|---|
| ジャンル | 歯科 |
| 都市名 | ソウル特別市 |
| 所在地 | 151 Yanghwa-ro, Mapo-gu, Seoul, 韓国 |
| 地下鉄から アクセス |
地下鉄ホンデ入口駅1番出口徒歩1分 |
| 営業時間 | 平日:10:00-18:30(お昼休憩13:00-:14:00) 木曜:14:00-21:00 土曜:10:00-14:00(お昼休憩なし) |
| 休業日 | 日曜・祝日 |
| 支払い方法 | 現金・カード決済 |
| 予約・ お問い合わせ先 |
公式LINE |
RECOMMENDこちらもオススメ
ミソラウム歯科医院
ミソラウム歯科は、全て完全個室の待機室・診療室を備えた、落ち着いた環境で通える歯科クリニックです。
院内を移動する必要がなく、到着から施術終了まで人目を気にせず、リラックスしてお過ごしいただけます。
治療は代表院長が一貫して担当するため、途中で医師が変わることによる不安や技術のばらつきがなく、ラミネートやインプラントなど複数回通院が必要な治療も安心してお任せいただけます。
また、不要な治療や過度なアップセルは行わず、患者様の歯と健康を第一に考えた誠実な診療方針を大切にしています。
江南中心エリアに位置しアクセスも良好で、使い捨て歯ブラシの無料提供もあるためお食事後の来院でも安心です。
パーフェクト歯科
1件
韓国や日本の多くのインフルエンサーも通う歯科クリニック。こちらはホワイトニング治療とラミネート治療が人気のクリニックです。ホワイトニングはなんと!1度の来院で3回行い、今までで一番白くなった!と評判でリピーターさんも多くいらっしゃいます。また、パーフェクト歯科のソ・ジェヒョン院長は韓国歯科医師の中で選ぶ、ラミネート部門のトップ100に選出されたことのある技術力のある医師です。自分の歯をほぼ削らない『無削除ポリネート』を院長指名で来院される方が多くいらっしゃいます。
ホワイトニングとクリーニングでパーフェクト歯科に通いました。受付スタッフの対応が非常に丁寧で、初めての訪問でもリラックスできました。担当の先生は、施術の前に詳しい説明をしてくれたので、不安なく受けることができました。施術後の結果には大満足で、歯が明るくなり、友人にも褒められました!院内はとても清潔で、落ち着いた雰囲気が良かったです。また定期的に通いたいと思います。
ル歯科
清潔感×安心対応で人気のル歯科は、過剰治療一切なしの安全さ。日本人スタッフ常勤で日本語対応も安心。初めての歯治療でも丁寧にカウンセリングしてくれるので不安なく相談できます。ブラウンと赤を基調にした待合室や大きな窓がある開放的な施術室は写真を撮りたくなるほど素敵で、スタッフも温かく迎えてくれるためリラックスできる雰囲気!
ワンデーインプラントや無削除ラミネート、オールセラミック、矯正やインビザラインまで幅広く対応しています。シンノンヒョン駅から徒歩1分とアクセスも便利なので、観光やお仕事の合間にもお気軽にご来院くださいね♪
| 都市名 | ソウル特別市 |
|---|---|
| 所在地 | 151 Yanghwa-ro, Mapo-gu, Seoul, 韓国 |
| 地下鉄から アクセス |
地下鉄ホンデ入口駅1番出口徒歩1分 |
