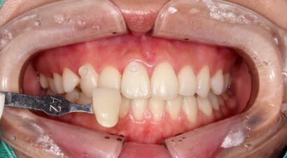
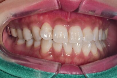
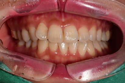
ビフォーアフター
診療時間
| 月 | 火 | 水 | 木 | 金 | 土 | 日 |
|---|---|---|---|---|---|---|
|
午前
10:00
~
13:00
|
午前
10:00
~
13:00
|
午前
10:00
~
13:00
|
午前
13:00
~
|
午前
10:00
~
13:00
|
午前
10:00
~
|
休診
|
|
午後
14:00
~
19:00
|
午後
14:00
~
21:00
|
午後
14:00
~
19:00
|
午後
~
21:00
|
午後
14:00
~
19:00
|
午後
~
14:00
|
ミンフォ限定キャンペーン情報
【オープン記念】ホワイトニングキャンペーン
施術一覧
歯科メニュー
| メニュー |
|---|
医師紹介
パク ノミン医院長
統合歯医学科 専門医
・統合歯医学科 専門医
・大韓補綴学会 優秀補綴医師
・ATC Advanced Implant Course 修了
・ATC 審美補綴コース修了
・(前)IDEN歯科医院 代表院長
クリニックの詳細情報
基本情報
| 店名 | ミソラウム歯科医院 |
|---|---|
| ジャンル | 歯科 |
| 所在地 | ソウル特別市 瑞草区 江南大路 375、3階 302号~307号(서울 서초구 강남대로 375 3층 302호~307호) |
| 地下鉄から アクセス |
地下鉄2号線・盆唐線 江南駅6番出口から徒歩1分 |
| 営業時間 | 【月・水・金】10:00~19:00 【火】10:00~21:00 【木】13:00~21:00 【土】10:00~14:00 ※土曜日は隔週営業(詳細は公式Xよりご確認ください) ※昼休み:13~14時 |
| 休業日 | 土曜日隔週・日曜・韓国の祝日 |
| 予約・ お問い合わせ先 |
公式LINE |
RECOMMENDこちらもオススメ
パーフェクト歯科
1件
韓国や日本の多くのインフルエンサーも通う歯科クリニック。ホワイトニングやラミネート治療をはじめ、セラミック、インプラント、ティースシェイピングなど、幅広い審美治療に対応しています。ホワイトニングはなんと!1度の来院で3回行い、今までで一番白くなった!と評判でリピーターさんも多くいらっしゃいます。また、パーフェクト歯科のソ・ジェヒョン院長は韓国歯科医師の中で選ぶ、ラミネート部門のトップ100に選出されたことのある技術力のある医師です。自分の歯をほぼ削らない『無削除ポリネート』を院長指名で来院される方が多くいらっしゃいます。
ホワイトニングとクリーニングでパーフェクト歯科に通いました。受付スタッフの対応が非常に丁寧で、初めての訪問でもリラックスできました。担当の先生は、施術の前に詳しい説明をしてくれたので、不安なく受けることができました。施術後の結果には大満足で、歯が明るくなり、友人にも褒められました!院内はとても清潔で、落ち着いた雰囲気が良かったです。また定期的に通いたいと思います。
リエンジャン美容外科・皮膚科 江南店
リエンジャン美容外科は、肌管理から美容整形、歯科治療まで幅広く対応するトータルビューティークリニックです。
複数の分野をまとめて相談・施術できるワンストップ体制で、目的に合わせた美容ケアの体験が可能です。
20年間医療事故ゼロを継続しており、長年の経験と豊富な症例データをもとに、一人ひとりに合わせた施術プランをご提案しています。院内には美容整形外科専門医と麻酔医学科専門医が在籍し、安全性を最優先にした医療体制を整えています。
さらに日曜日を含む週末も診療しており、旅行のスケジュールに合わせたご来院が可能で、日本語対応も可能なため、初めての方でも安心してご相談いただけるクリニックです。
ル歯科
清潔感×安心対応で人気のル歯科は、過剰治療一切なしの安全さ。日本人スタッフ常勤で日本語対応も安心。初めての歯治療でも丁寧にカウンセリングしてくれるので不安なく相談できます。ブラウンと赤を基調にした待合室や大きな窓がある開放的な施術室は写真を撮りたくなるほど素敵で、スタッフも温かく迎えてくれるためリラックスできる雰囲気!
ワンデーインプラントや無削除ラミネート、オールセラミック、矯正やインビザラインまで幅広く対応しています。シンノンヒョン駅から徒歩1分とアクセスも便利なので、観光やお仕事の合間にもお気軽にご来院くださいね♪
| 所在地 | ソウル特別市 瑞草区 江南大路 375、3階 302号~307号(서울 서초구 강남대로 375 3층 302호~307호) |
|---|---|
| 地下鉄から アクセス |
地下鉄2号線・盆唐線 江南駅6番出口から徒歩1分 |
