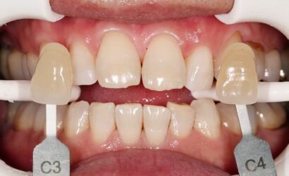
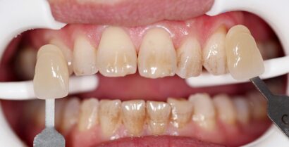
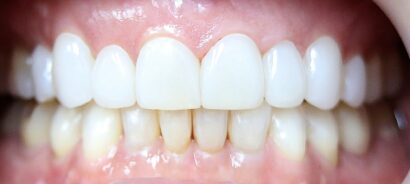
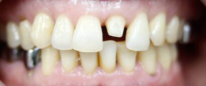
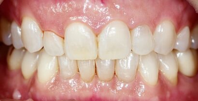
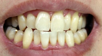
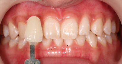
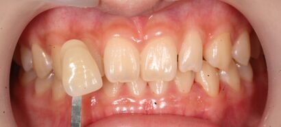
ビフォーアフター
診療時間
| 月 | 火 | 水 | 木 | 金 | 土 | 日 |
|---|---|---|---|---|---|---|
|
午前
09:30
~
12:30
|
午前
09:30
~
12:30
|
午前
09:30
~
12:30
|
午前
09:30
~
12:30
|
午前
09:30
~
12:30
|
午前
09:30
~
13:00
|
休診
|
|
午後
14:00
~
18:00
|
午後
14:00
~
18:00
|
午後
14:00
~
18:00
|
午後
14:00
~
18:00
|
午後
14:00
~
18:00
|
午後
休診
|
ミンフォ限定キャンペーン情報
【イベント】ホワイトニングキャンペーン
施術一覧
治療一覧
| メニュー | 所要時間 |
|---|---|
| カウンセリング後決定 | |
| カウンセリング後決定 | |
| 1時間30分 | |
| 30分 | |
| 30分 |
肌管理
| メニュー | 所要時間 |
|---|---|
| 60分 |
医師紹介
キ・ファヨン医師
口腔顎顔面外科 医学博士
・グリーンモール歯科医院 代表院長
・韓国延世大学 歯科大学卒業
・口腔顎顔面外科医学博士
・1988年 韓国で初めてインプラント治療を実施
・1993年 韓国で初めて上顎洞挙上術を施行
・(前)順天郷病院 外来教授
クリニックの詳細情報
基本情報
| 店名 | グリーンモール歯科 |
|---|---|
| ジャンル | 歯科 |
| 都市名 | 江南 |
| 所在地 | 韓国 ソウル、江南区、道山大路1ギル、13 ICTタワー1階 |
| 地下鉄から アクセス |
3号線新沙駅6番出口から出て3分 |
| 営業時間 | 平日 9:30~18:00(休診時間12:30~14:00)土曜日9:30~13:00 |
| 休業日 | 日曜日・韓国の祝日 |
| 日本語 | 通訳アテンド可能 |
| 支払い方法 | クレジットカード/現金 |
| 予約・ お問い合わせ先 |
公式LINE |
RECOMMENDこちらもオススメ
パーフェクト歯科
1件
韓国や日本の多くのインフルエンサーも通う歯科クリニック。こちらはホワイトニング治療とラミネート治療が人気のクリニックです。ホワイトニングはなんと!1度の来院で3回行い、今までで一番白くなった!と評判でリピーターさんも多くいらっしゃいます。また、パーフェクト歯科のソ・ジェヒョン院長は韓国歯科医師の中で選ぶ、ラミネート部門のトップ100に選出されたことのある技術力のある医師です。自分の歯をほぼ削らない『無削除ポリネート』を院長指名で来院される方が多くいらっしゃいます。
ホワイトニングとクリーニングでパーフェクト歯科に通いました。受付スタッフの対応が非常に丁寧で、初めての訪問でもリラックスできました。担当の先生は、施術の前に詳しい説明をしてくれたので、不安なく受けることができました。施術後の結果には大満足で、歯が明るくなり、友人にも褒められました!院内はとても清潔で、落ち着いた雰囲気が良かったです。また定期的に通いたいと思います。
ル歯科
清潔感×安心対応で人気のル歯科は、過剰治療一切なしの安全さ。日本人スタッフ常勤で日本語対応も安心。初めての歯治療でも丁寧にカウンセリングしてくれるので不安なく相談できます。ブラウンと赤を基調にした待合室や大きな窓がある開放的な施術室は写真を撮りたくなるほど素敵で、スタッフも温かく迎えてくれるためリラックスできる雰囲気!
ワンデーインプラントや無削除ラミネート、オールセラミック、矯正やインビザラインまで幅広く対応しています。シンノンヒョン駅から徒歩1分とアクセスも便利なので、観光やお仕事の合間にもお気軽にご来院くださいね♪
ヨンセファミエ歯科
ヨンセファミエ歯科は、開業10年以上、地元でも日本人にも信頼される歯科クリニックです♪
Google 平均評価4.9点、そして多数の日本語レビューもあり、初めての方でも安心してご来院いただけます。
院内は白を基調に広々とした清潔な空間で、初めての方もリラックスして診療を受けられます。
延世大学出身の専門医が在籍し、セラミック治療や歯列矯正、審美歯科まで幅広く対応。優しい先生たちと、丁寧な日本語通訳のサポートで、言葉の心配もありません。
また、当院はオステムインプラント社の「ソウルホワイトニングセンター」に選定されており、最新の美容歯科治療としてPDRN注射も導入しています。PDRN注射は歯茎の再生や健康維持をサポートし、口腔内の組織改善に効果が期待できる治療です✨
さらに、最新のデジタル技術(3D CT・口腔スキャナー・無針デジタル麻酔)を用い、精密かつ快適な治療を実現。
安心・信頼の実績で、あなたの理想の笑顔をサポートします。
| 都市名 | 江南 |
|---|---|
| 所在地 | 韓国 ソウル、江南区、道山大路1ギル、13 ICTタワー1階 |
| 地下鉄から アクセス |
3号線新沙駅6番出口から出て3分 |
